Blog
Managing Inflammatory Arthritis in the Feet

Inflammatory arthritis, such as rheumatoid arthritis, often affects the small joints of the feet, leading to pain, stiffness, and deformities. Proper management is critical to maintaining mobility and preventing long-term complications. Treatment focuses on reducing inflammation, alleviating pain, and supporting joint health. Custom orthotics can help redistribute pressure, while specialized footwear provides comfort and stability. Targeted exercise strengthens muscles, improves joint function, and reduces stiffness. Anti-inflammatory medications and biologics may also be part of the treatment plan. If you have painful arthritis in your feet, it is suggested that you schedule an appointment with a chiropodist who can provide expert care and tailored solutions that address individual needs.
Osteoarthritis in the feet or ankles can be a painful and disabling condition that may interfere with your daily activities. If you have arthritis, please consult with one of the specialists from Thornhill Foot Clinic. Our chiropodists will assess your condition and provide you with quality foot and ankle treatment.
What Is Osteoarthritis?
Osteoarthritis is a condition in which the protective layer of cartilage in the joints breaks down over time. This loss of cartilage causes the bones to rub together during movement, leading to pain and inflammation. Osteoarthritis is associated with aging, and often affects the small joints of the feet and ankles.
Symptoms
Symptoms of osteoarthritis include:
- Joint pain
- Joint stiffness
- Swelling in or around the joint
- Restricted range of motion
- Difficulty walking
Diagnosis
Osteoarthritis can be diagnosed through physical examination. You may also need to have an X-ray taken to assess the extent of the damage caused by arthritis.
Treatment
Treatment for osteoarthritis focuses on reducing symptoms and improving the function of the affected joints. Conservative treatments include oral pain medications, orthotic devices, bracing or immobilizing the affected foot or ankle, steroid injections into the affected joint to reduce inflammation, and physical therapy. In more severe cases, surgery may be necessary.
If you have any questions, please feel free to contact our office located in . We offer the newest diagnostic and treatment technologies for all your foot care needs
Symptoms and Diagnosis of Athlete’s Foot

Athlete’s foot is a fungal infection that primarily affects the skin on the feet. It is caused by fungi called dermatophytes, which thrive in warm, moist environments. The infection is extremely contagious and can spread through direct contact with contaminated surfaces or items, such as floors in public showers or gym locker rooms. Symptoms of athlete’s foot include itching, redness, and scaling of the skin, often between the toes. The affected area may become dry, cracked, or blistered, leading to discomfort and sometimes pain. In more severe cases, the infection can spread to the toenails or other parts of the body. Diagnosis is typically made through a physical examination of the feet, and in some cases, a skin scraping or sample may be taken for laboratory testing to confirm the presence of the fungal infection. If you have any of the above symptoms, it is suggested that you contact a chiropodist who can offer effective relief and treatment solutions.
Athlete’s foot can be uncomfortable and unsightly. To learn more about preventing and treating this condition, please consult with one of the specialists from Thornhill Foot Clinic. Our chiropodists will assess your condition and provide you with quality foot and ankle treatment.
What Is Athlete’s Foot?
Athlete’s foot refers to an infection of the skin on the feet that is caused by a fungus. This fungus is contagious and thrives in warm and moist environments. It is often spread in common areas such as public pools, locker rooms, and showers. It can also spread when sharing personal items, like shoes or towels, with an infected person.
Symptoms
The symptoms of athlete’s foot may include:
- Itching, stinging, or burning of the skin on the feet
- Cracking or peeling skin, especially between the toes and on the soles of the feet
- Scaly, red rash on the foot
- Blisters
- Foul odor
Treatment
Treatment for athlete’s foot typically involves using over-the-counter topical antifungal medications on the feet. When over-the-counter options are ineffective, you may need to take prescription oral medications or topical antifungal drugs, or a combination of both.
Prevention
Preventing athlete’s foot places an emphasis on good foot hygiene practices.
You can prevent athlete’s foot by:
- Washing and drying your feet thoroughly every day
- Wearing shoes when walking in public areas
- Not sharing personal items, like shoes or socks, with others
- Wearing shoes and socks made out of breathable materials
If you have any questions, please feel free to contact our office located in . We offer the newest diagnostic and treatment technologies for all your foot care needs.
Various Locations of Foot Pain

Foot pain can manifest in different areas, including the heel, arch, ball of the foot, toes, or ankle, each indicating specific underlying issues. Persistent pain, sudden severe discomfort, or pain linked to diabetes requires careful attention to prevent complications. Heel pain is often caused by plantar fasciitis, a condition where the ligament supporting the arch becomes inflamed. Arch pain might result from having flat feet, overuse, or wearing improper footwear. Pain in the ball of the foot, known as metatarsalgia, can arise from high-impact activities or wearing tight shoes. Toe pain is frequently linked to bunions, arthritis, or ingrown toenails. Sudden, severe pain might signal a fracture, sprain, or gout flare-up. Persistent discomfort could indicate chronic conditions like tendonitis or nerve damage. For people with diabetes, foot pain is especially concerning, as it may stem from neuropathy, poor circulation, or unnoticed wounds. If pain symptoms persist, it is strongly suggested that you schedule an appointment with a chiropodist for a proper diagnosis and care.
Foot pain is a common problem treated by chiropodists. If you have foot pain, please consult with one of the specialists from Thornhill Foot Clinic. Our chiropodists can help you maintain the health of your lower limbs and your mobility.
When you are experiencing foot pain, it’s important to note the type of pain and its location, as this can help determine a diagnosis.
Pain in the top of the foot may be caused by:
- Stress fractures
- Sinus tarsi syndrome
- Extensor tendonitis
- Tibialis anterior tendonitis
- Gout
- Athlete’s foot
- Ganglion cysts
Pain in the bottom of the foot may be caused by:
- Plantar fasciitis
- Foot cramps
- Tarsal tunnel syndrome
- Plantar fibromatosis
- Posterior tibial tendonitis
- Stress fractures
- Flat feet
Pain on the side of the foot may be caused by:
- Ankle sprain
- Cuboid syndrome
- Peroneal tendonitis
- Stress fractures
- Bunions
- Corns or calluses
- Posterior tibial tendonitis
Heel pain may be caused by:
- Plantar fasciitis
- Achilles tendonitis
- Bone spurs
- Heel fractures
- Retrocalcaneal bursitis
- Sever’s disease
Pain in the toes may be caused by:
- Gout
- Hammertoe
- Turf toe
- Bunions
- Ingrown toenails
- Blisters
- Arthritis
These and many more conditions can be treated by a chiropodist. If you have any questions, please feel free to contact our office located in . We offer the newest diagnostic and treatment technologies for all your foot care needs.
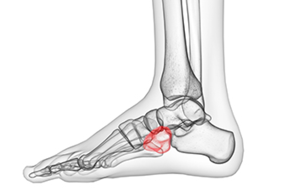
Understanding Cuboid Syndrome

Cuboid syndrome is a foot condition in which the cuboid bone becomes misaligned or restricted. This misalignment often occurs due to abnormal movement between the cuboid and the calcaneus joint, resulting from sudden trauma, repetitive stress, or overuse. Individuals who play sports or have poor foot mechanics are more prone to developing cuboid syndrome. Common symptoms include pain on the outer side of the foot, swelling, and difficulty walking. The discomfort can intensify with running, jumping, or prolonged standing. Some people may also experience a sense of instability or weakness in the foot. Diagnosis typically involves a physical examination, where the doctor applies pressure to the affected area to assess tenderness. Imaging techniques like X-rays or MRI scans, may also rule out other conditions and confirm the diagnosis. If you have pain on the outside of your foot, it is suggested that you consult a chiropodist.
Cuboid syndrome, also known as cuboid subluxation, occurs when the joint and ligaments surrounding the cuboid bone in the foot become injured. If you think that you may have cuboid syndrome, please consult with one of the specialists from Thornhill Foot Clinic. Our chiropodists will assess your condition and provide you with quality foot and ankle treatment.
Causes
The cuboid bone is one of the seven tarsal bones located in the foot. Cuboid syndrome develops when the cuboid bone moves down and out of alignment with the other bone (calcaneus bone) in the joint of the foot. Cuboid syndrome can be the result of a sudden injury like an ankle sprain, or it may develop slowly over time from repetitive tension through the bone and surrounding structures.
Symptoms
The most common symptom of cuboid syndrome is pain on the outside of the foot which may worsen with activity.
Other possible symptoms include:
- Difficulty bearing weight on the affected foot
- Swelling
- Sensitivity on the bottom of the foot
- Reduced range of motion
Diagnosis
A chiropodist can diagnose cuboid syndrome based on your medical history and a physical examination of the foot. Imaging studies, such as X-rays or MRIs, often fail to show the dislocated cuboid.
Treatment
Treatment often includes resting, icing, compressing and elevating the affected foot, taping, wearing orthotic inserts, and taking anti-inflammatory medications to reduce pain. The chiropodist may also be able to manipulate the dislocated bone back into alignment.
If you have any questions, please feel free to contact our office located in . We offer the newest diagnostic and treatment technologies for all your foot care needs.
